Služby
Esteticke fazety
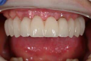
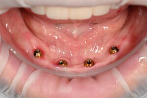
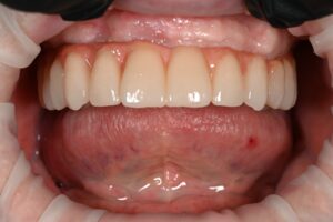
Zubní implantáty
Mikroskopická stomatologie
Záchovná stomatologie
Dentální hygiena
Dětská stomatologie
Ošetření ve spánku
Ceník
Ukázky práce
Náš tým
Kontakty
CZ
DE
Vyhledat